Expert Oral Surgery in Business Bay Dubai
When dental problems require surgical care, you need specialists you can trust. Oral surgery Dubai at Shades Medical Center is performed by DHA-licensed oral surgeons using advanced surgical techniques — delivering safe, precise, and comfortable outcomes.
Our oral surgeon Dubai team handles everything from simple tooth extractions to complex wisdom tooth removal Dubai, jaw surgery, dental implant placement, and bone grafting — all under one roof at our Business Bay clinic.
We use IV sedation, local anaesthesia, and minimally invasive surgical protocols to ensure you are comfortable throughout every procedure. All oral and maxillofacial surgery Dubai cases are managed with full pre- and post-operative care.
Services Details
Oral Surgery Services
Shades Medical Center delivers complete oral surgery Business Bay Dubai — from straightforward extractions to complex surgical procedures — in a safe, DHA-certified clinical environment.
Every surgical plan is designed around minimising recovery time, ensuring patient comfort, and achieving predictable, long-term results for all dental surgery Dubai patients.
What We Offer
Our Oral Surgery Services
Tooth Extraction
Wisdom Tooth Removal
Why Choose Us
Why Choose Shades for Oral Surgery?
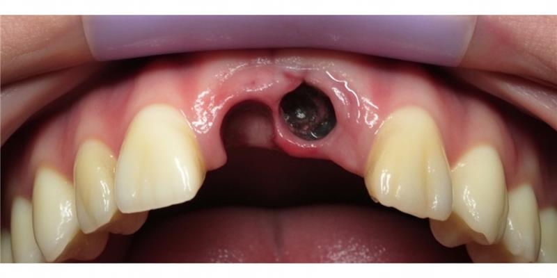
Impacted or partially erupted wisdom teeth
Severely decayed or broken teeth requiring extraction
Jaw cysts, tumours, or unexplained lumps
Insufficient bone for dental implant placement
Your Care Journey
How Oral Surgery Works
Book Appointment
Your oral surgeon reviews X-rays and 3D scans, discusses your procedure, and creates a tailored surgical plan.
Treatment Planning
A personalised surgical plan is created based on your diagnosis, including the type of anaesthesia, sedation options, and expected recovery timeline.
Gentle Check-Up
A thorough pre-operative assessment is performed, anaesthesia options are discussed, and you are prepared for a comfortable surgical experience.
Perform Procedure
We carry out care with precision, comfort, and advanced surgical techniques.
testimonials
What our customers
Say about us!

Khalid S.
Business Bay
Wisdom Teeth Gone — Easy
Had all four wisdom teeth removed in one session under sedation. Woke up and it was done. Recovery was so much easier than I expected.

Anna P.
DIFC
Professional Oral Surgeon
My oral surgeon was incredibly skilled and reassuring. The extraction of a broken molar I'd been dreading was completely painless. Thank you Shades.

Yusuf A.
Downtown Dubai
Great Post-Op Care
The team called to check on me after my surgery, sent detailed care instructions, and the follow-up was thorough. Exceptional standard of care.
FAQs
Wisdom tooth removal is performed under local anaesthesia — you will feel pressure but no pain during surgery. Post-operative soreness is managed with prescribed pain relief and typically resolves within three to five days.
Recovery varies by procedure. Simple extractions heal in two to three days; wisdom tooth removal takes three to five days; bone grafting may require two to four weeks of healing before implant placement.
Yes — we offer IV sedation and inhalation sedation (happy gas) for anxious patients or complex procedures. Our anaesthetist monitors you throughout for complete safety.
Soft foods and cold liquids are recommended for the first 24–48 hours. Avoid hot foods, drinking through straws, and smoking for the first 72 hours to protect the blood clot and promote healing.
No referral is needed at Shades Medical Center. You can book directly with our oral surgery team for a consultation and we will assess and plan your procedure in the same visit.
We provide a full post-operative care kit and pain management prescription at discharge. Most patients manage comfortably with standard pain relief. Contact us immediately if you develop fever, severe swelling, or signs of dry socket.
Book Your Oral Surgery Consultation in Business Bay Dubai
Our oral surgery team in Business Bay is ready to help. Call or WhatsApp Shades Medical Center today to book your consultation.
Oral Surgery Services Details
What Is Oral Surgery Services?
Oral Surgery Services
- Tooth Extraction
- Wisdom Tooth Removal
- Implant Surgery
- Bone Grafting
- Sinus Lift
- Cyst Removal
- Frenectomy
- Apicectomy
- IV Sedation
Simple and surgical extractions are performed under local anaesthesia with minimally invasive techniques for rapid healing.
3D-guided surgical removal of impacted wisdom teeth minimises nerve risk and accelerates recovery to three to five days.
Guided implant placement surgery positions titanium posts with precision using 3D surgical stents and CBCT planning.
Bone graft procedures rebuild deficient jaw sites before implant placement using premium synthetic or donor material.
Sinus augmentation surgery increases bone height in the upper jaw for safe implant placement in the molar region.
Jaw cysts and benign lesions are surgically excised and sent for pathological analysis with minimal surrounding tissue damage.
Lip and tongue tie release surgery improves speech, feeding, and gum health — performed quickly under local anaesthesia.
Root-tip surgery removes persistent infection at the apex of a root canal-treated tooth when conventional retreatment fails.
Intravenous sedation creates a relaxed, anxiety-free experience for patients undergoing multiple or complex surgical procedures.
Impacted wisdom teeth are surgically removed under local anaesthesia using minimally invasive techniques. 3D CBCT imaging guides precise access, reducing the risk to adjacent nerves and structures. Most patients recover within three to five days.
Simple and surgical extractions are performed gently under local anaesthesia. Sectioning and minimally invasive elevation minimises trauma to surrounding bone and tissue — accelerating healing and reducing post-extraction discomfort.
When bone volume is insufficient for implant placement, grafting rebuilds the deficient site using synthetic bone substitutes or autogenous material. Socket preservation grafts are also placed immediately after extraction to maintain bone volume.
why choose us
Why Choose Shades for Oral Surgery?
Our oral surgeon Dubai team uses 3D CBCT imaging for pre-surgical planning, minimally invasive techniques to reduce recovery time, and IV sedation for anxious patients. DHA-certified sterilisation, clear post-operative instructions, and same-day emergency surgical care make Shades the trusted choice for oral surgery Business Bay Dubai.
Minimally invasive techniques
We use keyhole and piezoelectric surgical methods to reduce trauma, bleeding, and recovery time notably.
Same-day surgical slots
Urgent surgical cases including dental abscess and impacted wisdom teeth are often treated on the same day.
Complete pre- and post-op care
Full surgical instructions, pain management, and follow-up care are included with every procedure.
Sedation options available
IV sedation and inhalation sedation make oral surgery completely comfortable for anxious patients.
How Oral Surgery Works
- Surgical Consultation
Your oral surgeon reviews X-rays and 3D scans, discusses your procedure, and creates a tailored surgical plan.
- Surgical Procedure
Surgery is performed under local anaesthesia or sedation — with minimally invasive techniques minimising recovery time.
- Recovery & Follow-Up
Post-operative care instructions are provided, with a follow-up appointment to monitor healing and remove sutures if needed.
